メイン画像

各種治療例の紹介

各自費治療の治療例をご紹介します。

インプラント

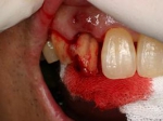
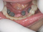
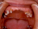
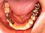
片側2歯欠損症例

片側2歯欠損 主訴-入れ歯を使ってみたが違和感強くてダメ。固定のものにしたい。術前下顎口腔内(鏡像)
 
二次オペ時(鏡像)
 
術後、左下奥2本インプラント(鏡像)
 
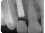
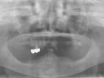
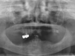
術後(レントゲン)、左下奥2本インプラント

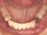
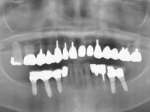
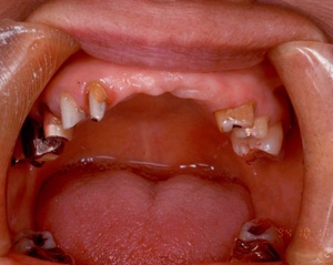
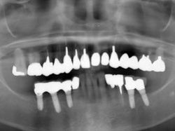
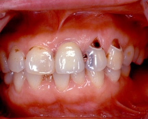
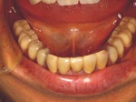
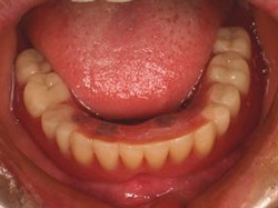
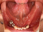
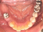
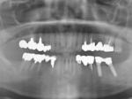
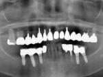
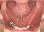
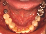
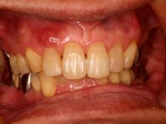
両側5歯症例

両側5歯症例 主訴-義歯のバネが壊れて手前の歯が痛んできた。 術前(旧義歯装着、鏡像) 
 
術前(下顎粘膜面、鏡像)
 
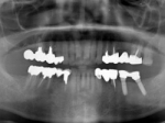
術前レントゲン
 
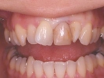
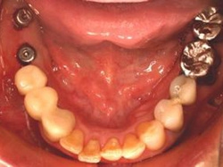
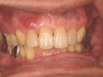
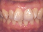
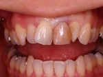
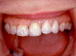
術前口腔内(正面観)
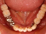
術後(鏡像)
 
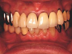
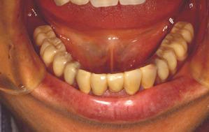
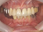
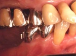
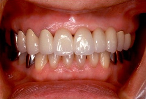
術後口腔内(正面観)もう入れ歯は要らなくなりました。
 
術後レントゲン

インプラント義歯 ミニインプラント症例

主訴-総入れ歯の安定が悪い 即時加重可能のミニインプラント使用した。
 
術前レントゲン
 
CT撮影から3次元骨モデルを作成し埋入位置の確認 
 
フィクスチャーを浸潤麻酔下で埋入。歯茎を切らないので患者さんも非常に楽
4本埋入終了(このシステムは4本が絶対条件)
 
当日に義歯の調整に取りかかる。裏側より義歯をくりぬき維持部のカバー(ハウジング)を義歯の内面に埋め込む step1
 
当日に義歯の調整に取りかかる。裏側より義歯をくりぬき維持部のカバー(ハウジング)を義歯の内面に埋め込む step2
 
当日に義歯の調整に取りかかる。裏側より義歯をくりぬき維持部のカバー(ハウジング)を義歯の内面に埋め込む step3
当日に義歯の調整に取りかかる。裏側より義歯をくりぬき維持部のカバー(ハウジング)を義歯の内面に埋め込む step4
 
当日に義歯の調整に取りかかる。裏側より義歯をくりぬき維持部のカバー(ハウジング)を義歯の内面に埋め込む step5
 
義歯の裏側
 
しっかり噛める様になる
術後レントゲン

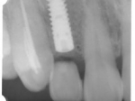
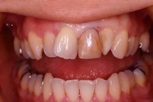
前歯即時埋入症例

主訴-前歯が腫れて痛い。治療法のうち、ブリッジとインプラントを説明して隣の前歯を削らないですむことからインプラントを選択された。
 
術前レントゲン
 
抜歯を行う。折れていた位置がかなり深い位置であるのがわかる。
 
歯根も抜歯
歯根も抜歯
 
抜歯した穴をよく掃除(掻爬)後すぐにインプラントを埋入
 
埋入直後のレントゲン。上部に見えるのは抜いた歯を利用して両どなりの歯に接着して一時的に使えるようにした。
 
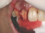
二次オペ時
仮の支柱を装着
 
作業模型上のセラミック上部構造
 
術後

上顎洞底粘膜挙上症例

主訴ー上顎のブリッジに使っている歯根が割れてインプラントを希望。上顎洞が下方にさがりインプラントの埋入スペースが不足している。上顎洞底粘膜を挙上して骨造成をはかり、インプラントを埋入した。
 
術直後レントゲン
 
上部構造装着後 4か月のレントゲン インプラントの尖端は骨と思われるもので満たされている。

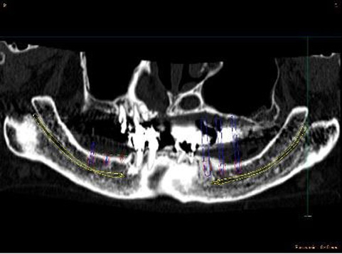
ショートインプラント

骨の高さが不足している場合、通常のインプラントでは処置が不可能なものが多い。特殊なショートインプラントを用いて可能になる例。 術前
 
術前CT像、下歯槽神経が下あごの中央部を走行しているため利用できる骨の高さが少ない。
 
埋入予定計画
 
術後レントゲン、ひだりは少し神経をおそれすぎてやや埋入深度が不足、しかしこれでもしっかりと骨と固着した。
上部装着後のレントゲン像
 
術前口腔内写真
 
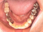
術後口腔内写真、食事がおいしくなったと非常に満足されている。

義歯

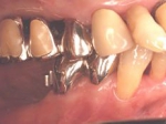
歯冠外アタッチメント(両側)

主訴-バネの目立たない入れ歯にしたい 装着前
 
義歯の内面(内側に赤いプラスチックが見えますがこれが消耗品で半年に一度くらい交換すれば元の維持が復活します。)
 
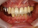
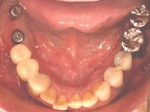
義歯装着後 バネが無いので入れ歯を使っているのが、外からはわからないくらいです。
 
義歯装着時正面像

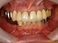
歯冠外アタッチメント(片側)

主訴-保険の入れ歯が咬みにくい、バネが気持ち悪い 装着前
 
装着前2
 
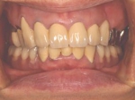
装着後
 
装着後2 入れ歯が小さくてバネもない、噛みしめても沈まないので痛みが非常に出にくい義歯

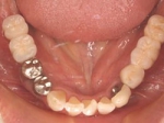
磁性アタッチメント

主訴-入れ歯の裏側を小さくしたい。 犬歯の歯根にマグネットを組み込み、磁石の吸着力で維持する義歯で対処した
 
義歯の内面
 
装着時
 
装着後

審美修復治療

メタルボンド症例

主訴-前歯部の咀嚼不全と審美障害。ブリッジ(固定橋義歯)のために歯を削ったところ
 
作業模型上のブリッジ
 
口腔内装着

インセラム(オールセラミック)症例①

インセラム(オールセラミック)冠による修復。 主訴は前歯が汚い 金属を使わないオールセラミックでの治療を勧めた。 術前
 
術後

インセラム(オールセラミック)症例②

術前
 
術後 歯の尖端の透明感までよく再現できている。
医院情報
大きい地図はこちら

■住所
〒215-0012
神奈川県川崎市麻生区東百合丘4-1-7
■最寄り駅から
小田急線新百合ヶ丘駅より
「聖マリアンナ医大」行きバス
「原店前」停留所前
■診療時間
午前 9:30~12:30
午後 14:00~16:00
(インプラント手術、訪問診療がある時18:30まで)
■休診日 木曜、日曜、祝日